당신의 소중한 치아
으뜸원치과가 더 소중히 다루겠습니다.
당장의 이익을 생각하지 않습니다.
공장 같은 진료는 더더욱 하지 않습니다.
으뜸원치과는 하나의 자연치라도 살리기 위해서 매주 시간을 투자해 연구하고 또 연구합니다.
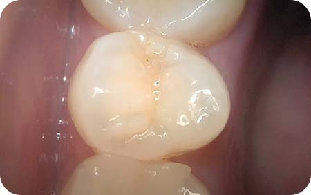
큐레이를 활용한 정확한 진단
어떤 치아에 어떤 문제가 있는지를 파악하는 정확한 진단이 최우선입니다.
잘못된 진단으로 인하여 불필요한 치료하지 않도록 정확히 진단하겠습니다.

큐레이
405nm 파장의 푸른 가시광선을 이용해 치아 표면의
세균이나 충치 부위에서 발생하는 붉은 형광 반응을 감지하여
충치와 크랙, 치태, 치석 등을 정량적으로 검사하는 기기입니다.
자연치를 보존하기 위한 노력
재신경 치료
신경치료 받았던 치아에 문제가 생겼을 때 시도해 보는 치료 방법으로
원인을 찾아 신경관의 충전물을 제거하고 다시 치료하는 고난도의 신경치료입니다.
잇몸에 염증이 생기고 통증이 느껴지는 분
예전에 신경치료 한 부위가 다시 시린 분
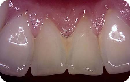
앞니 재신경 치료
기존 신경치료 한 치아 부상으로 보철이 깨져 내원하신 환자분.
기존 신경치료 상태가 좋지 않아 충전물 제거 후 근관 소독과 충전을 통해 깔끔하게 재신경 치료를 해드렸습니다.
치료기간 : 2022.12.08 ~ 2022.12.27
※ 치료 사진은 실제 본원에서 모든 치료 과정을 마친 환자분들의 동의하에 촬영되었습니다. 전/후 사진은 동일 인물이며, 동일 조건하에 촬영되었음을 밝힙니다.
부작용 : 출혈, 붓기, 신경 손상 등이 있을 수 있습니다.
고정력을 강화해 자연치를 살리는
치아 기둥 치료
충치 등으로 치아 손상이 심한 경우 손상된 치아에 기둥을 세워
치아를 수복하는 기둥 치료가 필요합니다.

충치로 치아 뿌리 쪽 부분만 겨우 남은 경우

치아가 깨져 남은 부분이 별로 없는 경우

손상이 크지만 자연치를 살리고 싶은 경우
치아 기둥 치료
앞니가 부러져 내원하신 환자분. 신경치료를 진행하고 치아 기둥(포스트)을 세워 보강하였고
최종적으로 지르코니아 크라운으로 안정적이고 깔끔하게 마무리해드렸습니다.
치료기간 : 2023.02.28 ~ 2023.07.13
※ 치료 사진은 실제 본원에서 모든 치료 과정을 마친 환자분들의 동의하에 촬영되었습니다. 전/후 사진은 동일 인물이며, 동일 조건하에 촬영되었음을 밝힙니다.
부작용 : 출혈, 붓기, 신경 손상 등이 있을 수 있습니다.
심한 지주질환에서
치아와 치주조직을 지키는 잇몸 수술
초기 치주질환은 스케일링 등 간단한 술식만으로 회복이 가능하지만 심한 경우에는 치주 수술이 필요합니다.
붓고, 피나고, 시린 증상이 있다면 잇몸 치료를 받으셔야 합니다.
치주 치료
잇몸 질환 초기에는 스케일링과 같은 간단한 시술로
회복되지만 시간이 지나 치료 시기를 놓치게 되면
시술이 더 복잡해져 비용과 치료의 난도가 높아집니다.
잇몸 수술
치석이 아주 깊은 곳까지 있거나 잇몸 염증이
심한 경우 자연치를 살리고 잇몸 질환 회복을 위해
잇몸 수술을 진행하게 됩니다.
따로 시간을 내서라도 자연치를 살리기 위한 연구를 진행하고 있는
으뜸원치과에서 내 치아는 더욱 소중해집니다.