CASE 01
66세 / 남
상악 전체 임플란트, 하악 부분 임플란트
오랜 시간 잇몸 질환과 충치로 인해 다수 치아 상실한 환자분
초진 당시 식사가 힘든 상황이셨고, 심미적인 스트레스도 많으셨습니다.
상태가 양호했던 하악 송곳니를 제외하고
디지털 가이드 임플란트으로 전체 임플란트 진행하였습니다.
치료기간 : 2020.05.15 ~ 2020.10.26
BEFORE
AFTER
CASE 02
58세 / 남
상악 다수 임플란트, 하악 부분 임플란트
초진 당시 상악 다수 치아 상실로 식사 시 어려움을 겪으셨던 환자분
하악도 어금니 상실과 충치 치료가 필요했던 상황이었습니다.
잇몸치료, 충치치료를 통해 최대한 치아를 보존하고 상실된 부위 다수 임플란트를 진행하였습니다.
치료 중간 내원을 못 하셨던 기간이 있었지만 다행이 안정적으로 임플란트를 마무리하였습니다.
치료기간 : 2021.11.23 ~ 2023.07.01
BEFORE
AFTER
CASE 03
58세 / 남
상악 전체 임플란트, 하악 구치부 임플란트
오랜 시간 잇몸 질환과 충치로 인해 다수 치아 상실한 환자분
초진 당시 식사가 힘든 상황이셨고, 심미적인 스트레스도 많으셨습니다.
상태가 그나마 양호했던 하악 전치부와 소구치를 제외하고
발치후 임플란트로 수복하여 심미성과 기능을 회복하였습니다.
치료기간 : 2024.03.16 ~ 2024.08.14
BEFORE
AFTER
CASE 04
37세 / 여
상악 전체 임플란트, 하악 구치부 임플란트
다발성 우식과 치석으로 인해 전체 치아가 망가지셨던 환자분
젊은 나이임에도 불구하고 일상 생활과 식사가 어려우셨습니다.
교합이 무너져있으며 치아우식과 치주질환이 심하였고 뼈도 약한 상태였으나
적절한 치주치료와 근관치료, 뼈이식과 상악동 거상술을 동반하여
임플란트와 보철치료를 완료하였습니다.
치료기간 : 2024.07.08 ~ 2025.05.12
BEFORE
AFTER
CASE 01
56세 / 남
상악 구치부 뼈이식 임플란트
초진 당시 치주질환으로 잇몸뼈 흡수가 심했고 치아가 흔들려서
통증을 호소하셨던 환자분
BEFORE
골흡수가 심한 상악 어금니 부위에 상악동 거상과 뼈이식을 함께 진행해
잇몸뼈의 양과 질을 회복하고 안정적으로 임플란트를 마무리하였습니다.
AFTER
치료기간 : 2021.07.16 ~ 2022.04.15
CASE 02
54세 / 남
우측 상하악 뼈이식 임플란트
초진 당시 치주질환으로 다수 치아 치조골 소실이 일어나
불편감을 호소하셨던 환자분
BEFORE
광범위한 뼈이식으로 뼈의 양을 확보하고 단단한 뼈로 만든 후
임플란트 치료를 진행하였습니다.
AFTER
치료기간 : 2021.09.06 ~ 2022.04.28
CASE 01
68세 / 남
무절개 임플란트
초진 당시 다수치아 상실한 상태여서
식사 시 불편감을 호소하셨던 환자분
BEFORE
다행히 잇몸뼈 상태가 양호했으며 잇몸도 잘 아문 상태여서
절개하는 과정 없는 무절개 임플란트로 치료하여 통증, 부기를 줄일 수 있었습니다.
AFTER
치료기간 : 2022.10.12 ~ 2023.02.13
CASE 02
67세 / 남
하악 우측 무절개 임플란트
초진 당시 하악 우측 구치부 통증 호소하셨고
치아 뿌리에 금이 간 상황이였습니다.
BEFORE
뿌리에 금이 간 치아는 발치를 시행하였고,
상실된 어금니 자리는 무절개 임플란트로 치료하였습니다.
AFTER
치료기간 : 2021.11.01 ~ 2022.02.28
CASE 01
54세 / 남
상악 우측 상악동 거상술 임플란트
초진 당시 충치, 치주질환으로 인해 불편감을 호소하셨던 환자분
잇몸뼈 흡수가 심하게 진행된 상태였고,
임플란트를 식립하기 위해 상악동 거상과 치조골 이식을 해야 하는 상황이었습니다.
BEFORE
측방접근법으로 상악동을 거상하고 뼈이식을 진행한 후
식립 자리를 안정적으로 확보하고 임플란트 치료를 진행하였습니다.
AFTER
치료기간 : 2021.09.06 ~ 2022.04.28
CASE 02
57세 / 남
상악 우측 상악동 거상술 임플란트
초진 당시 상악 우측 치아 상실로 여러 불편감을 호소하셨던 환자분
치아가 상실된 자리로 상악동이
함기화 되고 잇몸뼈가 흡수된 상태였습니다.
BEFORE
측방접근법으로 상악동을 거상하고 그 자리에 뼈이식을 통해
잇몸뼈를 확보한 후 임플란트를 진행하였습니다.
AFTER
치료기간 : 2021.05.25 ~ 2021.11.10.
CASE 01
72세 / 남
상악 임플란트 재수술
초진 당시 예전에 식립한 임플란트에 염증이 생겨 냄새가 나고 흔들려
불편감과 통증을 호소하셨던 환자분
불가피하게 임플란트를 제거할 수 밖에 없는 상황이었습니다.
BEFORE
임플란트를 제거 한 후 염증 치료와 잇몸뼈가 흡수된 부분에
뼈이식을 진행하고 재수술을 안정적으로 완료하였습니다.
AFTER
치료기간 : 2021.07.05 ~ 2022.03.23
CASE 02
67세 / 여
하악 임플란트 재수술
하악 임플란트에 염증이 생겨
잇몸뼈가 광범위하게 흡수되어
통증을 호소하셨던 환자분
BEFORE
기존 임플란트를 제거하고 뼈이식을 통해
임플란트 자리를 확보한 후 재수술을 안정적으로 진행하였습니다.
AFTER
치료기간 : 2021.03.25 ~ 2021.08.25
내 몸에 임플란트를 할 때 가장 먼저 생각해야 할 것은 가격이 아니라
누가 어떻게치료를 하느냐입니다.
자연치를 대신 할 수 있는 것은 없지만
자연치처럼 편안한 임플란트는 여기 으뜸원치과에 있습니다.
치아를 상실한 마음 누구보다 잘 알기에 최선의 치료 결과로 보답해 드리겠습니다.
치아가 하나도 없다면,
틀니 사용이 불편하다면
전체 임플란트
전체 임플란트는 무치악에 식립하는 임플란트로
수직 고경 설정, 교합의 이해 등 숙련된 테크닉과 지식이 필요한 술식입니다.
경험과 노하우가 풍부한 의료진에게 진료받아야
전체적인 구강 기능을 안정적으로 회복할 수 있습니다.
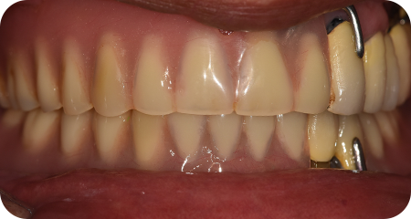
CASE 01
상악 전체 임플란트
하악 부분 임플란트
심한 잇몸 질환과 다발성 충치로
상악은 전체, 하악은 송곳니 상태 양호하여
보존한 후 나머지는 임플란트로 진행한 환자분
네비게이션 임플란트를 진행하여
빠른 기간 내에 심미성과 구강 기능을
회복한 케이스입니다.
66세 / 남 | 치료기간 : 2020.05.15 ~ 2020.10.26
자세히 보기 >CASE 02
상악 다수 임플란트
하악 부분 임플란트
상악 다수 치아 상실,
하악 일부 치아 상실로
식사가 어려웠던 환자분
잇몸치료를 통해 보존 가능한 치아는
최대한 사용할 수 있게 하였으며
다수 임플란트 치료로 치아 기능을 회복한 케이스입니다.
58세 / 남 | 치료기간 : 2021.11.23 ~ 2023.07.01
자세히 보기 >CASE 03
상악 전체 임플란트
하악 구치부 임플란트
심한 충치와 만성 치주염으로
다수의 치아를 발치해야 했던 환자분
살릴 수 있는 치아는 최대한 살리고
예후가 불량한 치아는 발치하여
상악 전체 임플란트 하악 구치부 임플란트 진행하여
치료를 완료하였습니다.
58세 / 남 | 치료기간 : 2024.03.16 ~ 2024.08.14
자세히 보기 >CASE 04
상악 전체 임플란트
하악 구치부 임플란트
다발성 우식과 치석으로 인해
전체 치아가 망가지셨던 환자분
치과 공포증으로 인해 치과 내원을 꺼리셔서
구강 상태가 매우 불량하며 젊은 나이임에도 불구하고
일상 생활과 식사가 어려우셨습니다.
치주치료와 근관치료 임플란트로
전체 구강 건강을 회복하였습니다.
37세 / 여 | 치료기간 : 2024.07.08 ~ 2025.05.12
자세히 보기 >무치악 환자를 위한
매직4 임플란트
완전 무치악이나 치아가 기능을 더 이상 할 수 없을 만큼 손상이 클 때
디지털로 진단하고 설계한 매직4 임플란트를 통해 치아 기능 회복은 물론
안모 개선으로 활력 있는 생활까지 찾아드립니다.
매직포 임플란트(all on X)란?
무치악 환자들에게 상악, 하악 4개~6개 정도의 임플란트를 식립한 후
티타늄 바를 설치하고 지르코니아 보철물로 고정하는 인공 치아 시술입니다.
합리적인 비용! 높은 만족도!
최첨단 기술을 자랑하는
매직4 임플란트


편안하고 안정적인
매직4 임플란트
고위험군 환자들도
부담 없는 임플란트 수술
최소 임플란트 식립으로
수술 부담 줄임
합리적이고 부담 없는
비용으로 임플란트 가능
높은 고정력으로
저작력 우수
틀니 불편감에서
해소
CASE 01
64세 / 남 | 치료기간 : 2020.03.04 ~ 2022.08.12


매직포 임플란트 [ 치료 전 ]
치주염과 광범위한 치아 파절 및 상실로 불편감을 호소하셨습니다.


매직포 임플란트 [ 치료 후 ]
전체 치아 발치가 불가피하여 발치를 진행하고
매직포 임플란트로 상, 하악 수복해 드렸습니다.
CASE 02
59세 / 여 | 치료기간 : 2021.07.12 ~ 2022.01.15
매직포 임플란트 [ 치료 전 ]
치아 상실로 인해 임플란트 치료를 원하셨으며
남은 치아들도 심한 치주염으로
동요도가 컸던 상황이었습니다.
매직포 임플란트 [ 치료 후 ]
발치 후 상, 하악 매직포 임플란트로
치료해 드렸습니다.
CASE 03
64세 / 남 | 치료기간 : 2024.06.16 ~ 2024.11.12


매직포 임플란트 [ 치료 전 ]
상하악 치아에 거는 틀니를 사용중이신데 이가 흔들려서 틀니가 불편하다고 내원하신 환자분


매직포 임플란트 [ 치료 후 ]
굉장히 많이 흔들리는 치아를 발치 후
상하악 매직포 임플란트로 회복하였습니다.
오래 쓰는 임플란트,
단단하고 충분한 뼈로부터
뼈이식 임플란트
임플란트가 필요한 분들 중에는 잇몸뼈가 부족한 경우가 많습니다.
치아가 상실되면 치아를 지지하던 잇몸뼈가 흡수되어 소실되기 때문입니다.
뼈의 상태가 좋지 않거나 소실된 경우 뼈이식을 통해
튼튼하고 안정적인 임플란트를 식립할 수 있습니다.
CASE 01
뼈이식 임플란트
치주 질환으로 치조골 흡수가 심해
임플란트 식립이 어려울 것으로 판단되어
뼈이식을 먼저 진행하고 임플란트 치료를 하셨던 환자분
상악 구치부 치조골 이식 후
뼈의 양과 질이 안정적으로 변화된 케이스입니다.
56세 / 남 | 치료기간 : 2021.07.16 ~ 2022.04.15
자세히 보기 >CASE 02
뼈이식 임플란트
치주 질환으로 인해
다수 치조골이 소실되어
치아 불편감을 호소하신 환자분
광범위한 뼈이식을 통해 뼈를 만들고
안정적인 임플란트 치료를 해드렸습니다.
53세 / 남 | 치료기간 : 2021.09.06 ~ 2022.04.28
자세히 보기 >통증과 출혈을 줄인
안심되고 간편한 수술
무절개 임플란트
단단한 잇몸뼈가 충분한 경우
절개 없이 임플란트를 식립할 수 있습니다.
그만큼 수술 과정이 간단하고 통증, 출혈이 적으며
후유증, 회복 걱정이 줄어드는 장점이 있습니다.
무절개 임플란트가 가능한지는 정확한 진단을 통해 결정되며
의료진의 실력과 노하우가 중요한 술식입니다.
당일 식립으로 빠르고
편리한 생활 맞춤형 임플란트
발치 즉시 임플란트
잇몸뼈가 충분한 경우 여러 진단을 통해
발치부터 식립까지 당일에 진료받을 수 있습니다.
짧은 기간과 줄어든 내원 횟수로 바쁜 현대인들이 선호하는 임플란트 술식입니다.
빠르고 편리한 임플란트, 발치 즉시 임플란트는
의료진의 진단하에 가능 여부가 결정됩니다.

STEP 01
발치
STEP 02
잇몸회복
STEP 03
임플란트 식립
STEP 04
임시 보철물
STEP 05
최종 보철물

STEP 01
발치·잇몸 회복·임플란트 식립·임시 보철물
STEP 02
최종 보철물
상악동 거상으로 상악 어금니
임플란트를 성공적으로
상악동 임플란트
상악동이란 위턱에 있는 공간으로
공기가 통하는 통로, 머리뼈 무게 감소, 공명 작용 등의 역할을 합니다.
상악동과 잇몸뼈 사이가 가깝고 뼈의 양이 충분하지 않을 시
상악동을 들어 올리고 그 공간에 뼈이식을 진행하고 임플란트를 식립하게 됩니다.
이는 성공적인 임플란트를 위해 필요한 술식이며
진단하에 상악동 거상 여부를 결정합니다.
CASE 01
상악 우측 상악동
거상술 임플란트
충치, 치주 질환으로
잇몸뼈 흡수가 많이 진행되었고
생활 시 불편감을 호소하셨던 환자분
상악동 거상과 치조골 이식으로
식립 조건을 확보하고 안정적으로
임플란트 치료를 했던 케이스입니다.
54세 / 남 | 치료기간 : 2021.09.06 ~ 2022.04.28
자세히 보기 >CASE 02
상악 우측 상악동
거상술 임플란트
상악 우측 치아 상실로
치료를 원하셨던 환자분.
상악동이 내려앉고 잇몸뼈가 부족한 상황이었습니다.
임플란트 식립 공간 확보를 위해
상악동 거상과 치조골 이식을 진행하고
임플란트를 식립한 케이스입니다.
57세 / 남 | 치료기간 : 2021.05.25 ~ 2021.11.10
자세히 보기 >두 번의 실패는 없어야 하기에
치과 선택은 더 신중하게
임플란트 재수술
타 병원에서 임플란트 수술 후 여러 이유로
재수술하는 경우가 있습니다.
중요한 것은 수술의 실패 원인을 파악하는 것입니다.
정확한 분석 후 다시는 실패하지 않는 체계적인 임플란트 계획을 세웁니다.
재수술은 다소 까다로운 수술로 분석 과정부터 수술까지
안정적으로 진행할 치과를 더욱 신중히 선택하셔야 합니다.
CASE 01
상악 임플란트 재수술
예전에 했던 임플란트에서 냄새가 나고
흔들려 힘들어하셨던 환자분
임플란트 주위염으로 재수술이 불가피한 상황이었습니다.
임플란트를 제거하고 염증 치료와 뼈이식 후
재수술을 진행한 케이스입니다.
72세 / 남 | 치료기간 : 2021.07.05 ~ 2022.03.23
자세히 보기 >CASE 02
하악 임플란트 재수술
예전에 했던 임플란트 주변에 염증이 생겨
광범위한 잇몸뼈 흡수가 일어난 환자분
기존 임플란트를 불가피하게
제거하고 뼈이식을 동반하여
임플란트 재수술을 진행한 케이스입니다.
67세 / 여 | 치료기간 : 2021.03.25 ~ 2021.08.25
자세히 보기 >