치료라는 이름에는 아름다움만 담아선 안됩니다.
건강하고 자연스러운 아름다움
으뜸원치과의 원칙입니다.
심미적인 부분은 물론 기능과 안전까지
무엇 하나 놓치지 않는 치료 결과로 보답합니다.
자연치를 보존하며
치아의 모양과
색상을 개선하는 라미네이트
POINT 01
건강한 아름다움 : 으뜸원치과의 정교한 초정밀 라미네이트로 최대한 자연치를 삭제하지 않고 치료합니다.
POINT 02
자연스럽게 어울림 : 다른 치아와의 조화, 색상, 모양, 스마일 라인을 세밀하게 고려해 내 치아인 듯 자연스러운 라미네이트 치료를 합니다.
POINT 03
오래가는 만족감 : 완성도 높은 치료 결과로 치아 문제를 해소하고 꼼꼼하고 오래가는 치료를 약속합니다.
으뜸원치과 라미네이트
이런 분께 필요합니다.

벌어지고 고르지 못한 앞니로
자신감이 떨어지는 분

치아의 변색, 반점이 보기 싫어서
치아 색을 바꾸고 싶은 분

치아 파절, 에나멜 부식 등
결손된 부분이 있는 분

단시간에 치아 개선 효과를
원하시는 분
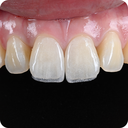
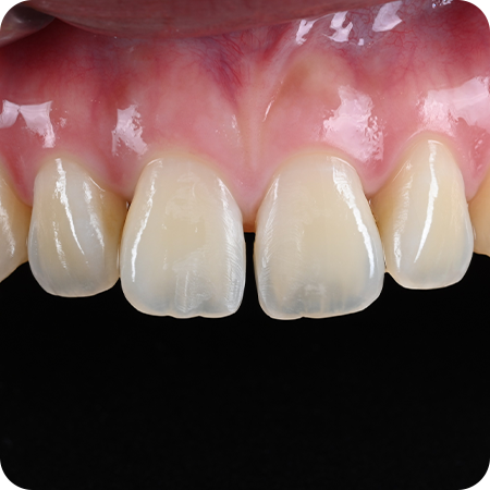
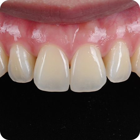
CASE 01
라미네이트
앞니가 벌어져 오랜 시간 가졌던
컴플렉스 해소를 위해 내원하신 환자분
크라운보다 치아 삭제가 적은
라미네이트로 벌어진 앞니를 개선하고
주변 치아 색상과 자연스럽게 어우러진
예쁜 앞니를 만들어 드렸습니다.
치료기간 : 2023.07.25 ~ 2023.08.05
CASE 02
라미네이트
다수 치아에 반점과 우식으로 인해
치아가 얼룩덜룩 했었습니다.
상악 전치 라미네이트 수복으로
색상과 모양을 심미적으로 개선하였습니다.
치료기간 : 2025.03.22 ~ 2025.04.08
CASE 03
라미네이트
이전에 인접면 레진수복이 깔끔하지 않았고
치아색상이 어두워 보인다고 하신분
상악 전치부 라미네이트 수복으로
깔끔하고 하얀 치아를 만들어 드렸습니다.
치료기간 : 2024.12.11 ~ 2024.12.29
미소를 더 돋보이게 하는
잇몸 성형
잇몸 모양과 양은 이미지에 큰 영향을 줍니다.
잇몸을 적절하게 다듬는 잇몸 성형으로
자신 있는 스마일 라인을 만들어 드립니다.

잇몸이 치아를 덮어서 치아가 짧아 보이는 분

웃을 때 잇몸이 많이 보여 신경 쓰이시는 분

시원스러운 예쁜 스마일을 원하시는 분
CASE 01
심미보철 + 잇몸 성형
앞니 치아 우식으로 인한 치근단 염증으로
신경치료 후 크라운 + 잇몸성형을 진행하셨습니다.
잇몸 성형을 통해 양쪽 잇몸 높이를 예쁘게
조정해 드렸습니다.
치료기간 : 2022.12.22 ~ 2023.01.17
CASE 02
심미보철 + 잇몸 성형
앞니 미약한 삐뚤함, 잇몸 높이 비대칭이 있고
치아교정은 원하지 않으셨던 환자분
심미보철과 잇몸 성형으로 최대한 자연스럽고
대칭적인 잇몸 라인을 만들어 드렸습니다.
치료기간 : 2023.07.24 ~ 2023.08.12
하얀 치아로
자신감 있는 미소
치아 미백
무조건 하얀 치아를 만드는 것이 목표는 아닙니다.
개인에게 맞는 치아 색상을 찾아 스마일 자신감까지 찾아드립니다.

누런 치아 색이 고민이신 분

커피, 흡연 등으로 치아가 변색된 분

보다 밝고 자신 있는 스마일을 원하시는 분
CASE 01
치아 미백
치아색이 노란 편이어서 치아 미백을 원하셨고
스케일링과 치아 미백을 진행해 드렸습니다.
2회 치아 미백으로 치아색이 두 단계 밝아졌습니다.
치료기간 : 2020.11.11 ~ 2020.11.18
CASE 02
치아 미백
치아색이 노란 편이어서 치아 미백을 원하셨고
스케일링과 치아 미백을 진행해 드렸습니다.
2회 치아 미백으로 치아색이 2.5단계 밝아졌습니다.
치료기간 : 2021.07.22 ~ 2021.07.29
변색하고 손상된
앞니를 복구
앞니 재보철
기존의 보철로 인해 심미적 또는 기능적으로 문제가 생겼다면
문제를 바로잡는 앞니 재보철 치료가 필요합니다.

기존 앞니 보철로 인해 잇몸에 문제가 생긴 분

기존 앞니 보철이 마음에 안 드는 분

앞니 보철의 크기나 모양이 자연스럽지 못한 분
CASE 01
앞니 재보철
치아 우식과 치주질환으로 인해
비심미적인 치아들을 보철물 교환을 통해
심미적으로 바꿔드렸습니다.
치료기간 : 2024.12.09 ~ 2025.09.09
CASE 02
앞니 재보철
오래된 보철물의 높이가 잇몸과 맞지를 않고
치아색상이 달라서 비심미적이었습니다.
재보철을 통해 보철을 잇몸 높이에 맞추고
색상도 맞추어서 심미적으로 변경되었습니다.
치료기간 : 2025.04.16 ~ 2025.05.03
내 치아 같은 자연스러움
심미 레진 / 심미 크라운
치열 고민, 변색, 깨진 앞니를 개선하는 심미치료입니다.
자연스러운 색상, 조화로운 모양으로 예쁜 앞니를 만들어 드립니다.

부러진 앞니 형태 개선이 필요한 분

교정 없이 가지런한 치아를 원하시는 분

치아 사이 공간을 개선하고 싶으신 분
심미 레진
CASE 01
치아 벌어짐(diastema)
레진 치료
치아 사이 공간때문이 신경이 쓰여서
내원하신 환자분
레진수복으로 치아 사이 공간을
메워 드렸습니다.
치료기간 : 2025.06.13 ~ 2025.06.13
CASE 02
블랙트라이앵글(black triangle)
레진 치료
치아 사이의 검은 공간(블랙트라이앵글) 때문에
보기 좋지 않고 음식물이 들어간다고 하신 환자분
레진수복으로 블랙트라이앵글을
공간을 메워 드렸습니다.
치료기간 : 2025.09.06 ~ 2025.09.06
심미 크라운
CASE 01
심미 크라운 + 임플란트
다발성 우식으로 인해 치아손상과
비심미적인 치아를 가지셨던 환자분
지르코니아 크라운과 임플란트로
수복하여 치료를 완료했습니다.
치료기간 : 2024.12.15 ~ 2025.06.07
CASE 02
레진 치료 + 지르코니아 크라운
앞니 다발성 우식이 있었고
근관치료를 동반한 우식 치료를 진행하였습니다.
레진 치료와 지르코니아 크라운으로
앞니 보철을 깔끔하게
마무리해드렸습니다.
치료기간 : 2022.07.18 ~ 2022.09.12
CASE 03
앞니 심미보철
다발성 우식과 크랙이 있는
치아들을 우식 치료 후
PFM 크라운으로 치료해 드렸습니다.
치료기간 : 2023.04.27 ~ 2023.06.01
CASE 04
레진 치료 + 지르코니아 크라운
잇몸이 부은 상태였고 다수 치아
우식이 진행되어 있었던 환자분
우식 치료 후 심미 레진과 지르코니아 크라운으로
자연스럽고 심미적인 앞니를 만들어 드렸습니다.
치료기간 : 2023.05.25 ~ 2023.06.08
CASE 05
교합거상을 동반한 심미 크라운
강한 교합력과 이갈이로 치아마모 파절로 인해
교합이 낮아지고 비 심미적이었던 케이스
구치부 임플란트와 크라운을 통해
전악 교합거상과 함께 전치부 크라운으로
기능과 심미성을 회복하였습니다.
치료기간 : 2020.07.20 ~ 2020.12.05
CASE 06
교합거상을 동반한 심미 크라운
DEEP BITE와 구치부 상실로 치아가
들어갈 공간이 부족했던 환자분
구치부 임플란트와 크라운을 통해
전악 교합거상과 함께 전치부 크라운으로
기능과 심미성을 회복하였습니다.
치료기간 : 2024.08.23 ~ 2025.02.21
치아의 기능과 아름다움 무엇 하나 놓치지 않는 으뜸원치과의 심미치료로
더 많이 더 자주 웃는 당신을 발견하게 됩니다.